1现场挂号
全年无休,每天9:00~~18:00接受挂号服务。
可预约一周内的号,就诊当天凭预约短信就诊。
2网上挂号
通过搜索德伦口腔官方网站,点击首页“预约挂号”进行挂号。
1、电脑端:http://www.sddelun.com/
2、手机端:http://m.sddelun.com/


年龄:40多岁
牙齿症状:门牙缺失
解决方法:数字化即刻种植

年龄:23岁
牙齿症状:牙齿外突\拥挤\不整齐
解决方法:隐形矫正

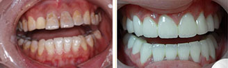
年龄:30岁
牙齿症状:牙齿发黄、轻微不齐
解决方法:瓷玉雕修复
